
医院动态
详细内容
News
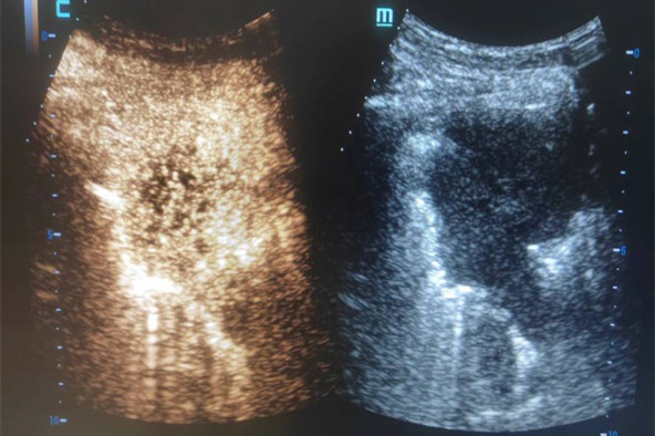
超声造影作为超声检查的一种新型检查方式,是通过观察组织的微灌注情况来判断肿块的良恶性,目前广泛应用于腹腔各脏器肿瘤及甲状腺、乳腺等浅表肿瘤的检查。穿刺术中的超声造影,可以显示肿块内及周边的血管分布情况,区分肿块组织的活性区域,有效指引操作者避开穿刺路径上的大血管和病灶内坏死区域,提高穿刺活检的成功率,减少并发症的发生。相对于传统的X线引导下穿刺活检,具有无放射性、实时、精准、全程显示穿刺针道、安全、高效等优势。
在院领导的大力支持下,我院超声科大力发展超声介入亚专科,北区超声科团队已常规开展甲状腺细针穿刺、乳腺、浅表肿块、肝脏、肾脏、腹腔肿块的超声造影及粗针穿刺活检、甲状腺囊肿、肝肾囊肿的硬化治疗、胸腹腔积液的引流、肝脓肿、梗阻性黄疸经皮胆道(PTCD)及胆囊穿刺(PTGD)引流等。
供稿:唐文成
![]() |
![]() |
![]() |
|
| 支付宝生活号 | 微信服务号 | 微信订阅号 | 在线留言 |