
医院动态
详细内容
News近日,骨科二病区成功开展我院首例关节镜下经皮空心螺钉内固定微创治疗单纯后外侧胫骨平台塌陷骨折手术,标志着我院骨科在膝关节胫骨平台骨折手术治疗方面上了一个新台阶。

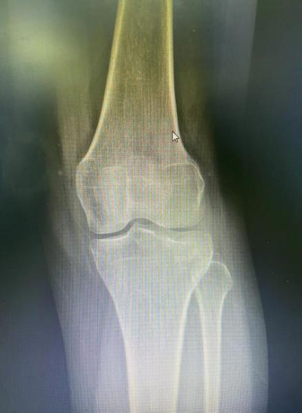
今年26岁的王女士,左膝关节胫骨平台骨折入住我院骨科二病区。

术前X片

镜下观察塌陷骨折面
考虑传统手术前外侧大切口需要劈开外侧平台造成一个人为骨折从而显露塌陷关节面,复位后再用钢板固定人为造成的胫骨外侧平台骨折,手术创伤大,术后关节功能影响较大。

传统切口

传统内固定钢板
骨科二病区严伟主任医疗团队对该病例开展充分讨论,最后决定采用经关节镜辅助下外侧平台开孔经隧道推顶复位塌陷关节面并经皮空心螺钉内固定微创治疗。手术由严伟主任、潘守峰副主任医师主刀,在麻醉一科、手术一科的全力配合下,手术顺利完成,目前患者恢复良好,无并发症出现,术后第二天即可功能锻炼,患者表示非常满意。

顶复方法

复位后镜下观

微创切口

术后X片
据严伟主任介绍,胫骨平台单纯后外侧塌陷骨折处理较为棘手,传统开放复位内固定治疗方式手术创伤大,影响膝关节功能。随着关节镜技术发展,应用关节镜辅助复位治疗单纯后外侧平台塌陷型骨折临床效果满意,创伤小并有利于患者康复,值得推广应用。(供稿:谢迎)
![]() |
![]() |
![]() |
|
| 支付宝生活号 | 微信服务号 | 微信订阅号 | 在线留言 |